Во Владимире врачи спасли жизнь юному пациенту с опасным заболеванием

Владимирские врачи вылечили ребенка от тяжелой формы гнойной пневмонии Врачи-педиатры смогли поставить на ноги ребенка с тяжелой формы пневмонии со скоплением гноя и воздуха в плевральной полости,

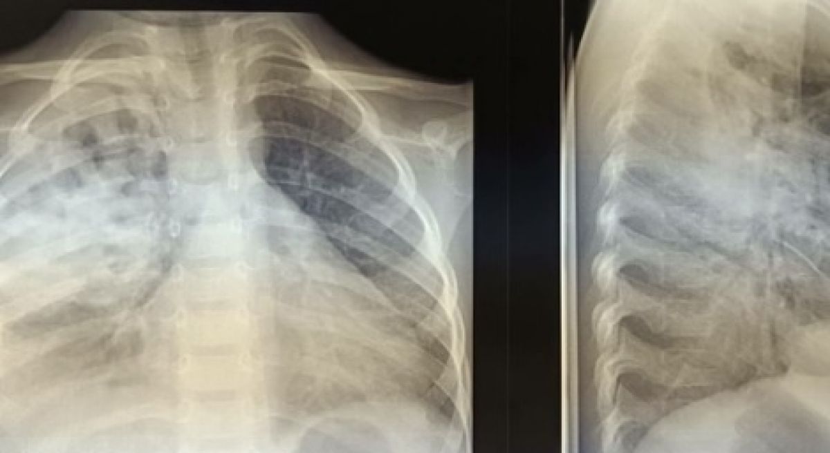
Владимирские врачи вылечили ребенка от тяжелой формы гнойной пневмонии

Врачи-педиатры смогли поставить на ноги ребенка с тяжелой формы пневмонии со скоплением гноя и воздуха в плевральной полости, рассказали в областной детской клинической больнице.

По словам медиков, потребовалось проведение  дренирования плевральной полости. Затем юному пациенту назначили физиотерапию и подобрали терапию. В настоящее время малыш уже выписан домой.

Врачи также добавили, в раннем возрасте смертность от данного заболевания относительно высока. 

Напомним, ранее сообщалось , что во Владимирской области для спасения подростка понадобился вертолет.

Автор: Михаил Ломоносов

Автор: Областная детская клиническая больница города Владимира, источник фото .

Последние новости

К 80-летию Великой Победы. Рассказ о прадеде (старший помощник Муромского городского прокурора Евгений Цыганов)

Мой прадед, Александр Васильевич Мусев родился в 1899 году, был женат на Пелагее Андреевне Мусевой, имел двоих детей: сына Евгения и дочь Эльвиру.

Прокурор Владимирской области Иван Грибов проведет личный прием граждан в Вязниковском районе

9 апреля 2025 года с 11-00 прокурор Владимирской области Иван Владимирович Грибов будет вести личный прием граждан в п. Никологоры Вязниковского района.

Спорт и чистота – отличный дуэт! Присоединяйся к Спортивной школе!

Сегодня сотрудники МБУ ДО СШ провели традиционный весенний субботник на прилегающей территории.

Коррекция фиброза и возрастных изменений: когда показан эндотканевой лифтинг

Как современная технология помогает вернуть коже упругость, убрать отёки и улучшить рельеф без хирургии

Здесь вы можете узнать о лучших предложениях и выгодных условиях, чтобы купить квартиру в Елабуге

Комментарии (0)

Добавить комментарий

Ваш email не публикуется. Обязательные поля отмечены *